Аварія, падіння з висоти, невдалий стрибок, надмірні навантаження – повністю захистити собаку від усіх ризиків навряд чи вийде. Але навіть якщо сильно роздроблена кістка, сьогодні вилікувати майже будь перелом у собаки технічно нескладно. Звичайно, якщо вчасно звернутися до ветеринара. Але як допомогти улюбленцю до приїзду в клініку?

Види та ознаки переломів
1. Тріщина – найбезпечніший з переломів, кістка зламана не повністю, а прилеглі тканини не пошкоджені. Часто плутають із забоєм, т. к. вихованець в цілому відчуває себе добре, просто рухається з обережністю. Якщо вчасно не надати допомогу, ситуація може погіршитися. Наприклад, не ускладнений перелом лапи собаки без лікування стає відкритим переломом після стрибка через високий бар’єр (частково пошкоджена кістка не витримує звичних навантажень).
Візуально визначити тріщину в кістки неможливо. Тому у всіх випадках, коли без видимих причин собака не дозволяє доторкатися до будь-якої частини тіла, обережно рухається, накульгує (лапи, хребет), повільно жує (щелепи) і т. п., потрібно зробити рентген.
2. Вколочений перелом – частини кістки в пошкодженому місці входять один в одного. Так трапляється, коли удар спрямований поздовжньо кістки, а не впоперек. Наприклад, коли щеня (еластичні кістки), маленький або дуже великий пес зістрибує з висоти, спираючись на передні лапи. Симптоми вколоченного перелому лапи у собаки при тріщині (кульгавість, болючість), небезпека та ж – частини кістки можуть зміститися, якщо вчасно не надати допомогу. Тканини не пошкоджені або пошкоджені незначно, зламана кістка частково фіксує саму себе.

3. Закритий перелом без зміщення – кінці зламаної кістки знаходяться в природному положенні відносно один одного. Сильний біль, почервоніння та/або набряклість, улюбленець не дає доторкатися до місця травми і намагається не навантажувати болючу ділянку (не спирається на лапу, не жує – щелепа, спить на одному боці – ребра).
4. Закритий перелом зі зміщенням – кінці зламаної кістки розходяться, пошкоджуючи судини і м’язи. Біль сильніше, набряк більше, на світлих собаках добре помітна гематома, може бути помітна опуклість (якщо зміщений край зламаної кістки впирається в шкіру зсередини).
Закриті переломи кісток у собак вкрай небезпечні – зовні ніби нічого страшного, а тканини під шкірою можуть бути серйозно пошкоджені велику судину – втрата крові, нерви – частковий параліч, кінець зламаного ребра може проткнути внутрішній орган.
5. Відкритий перелом – край кістки стирчить назовні, розірвавши м’язи і шкіру. Сама кістка може бути непомітна (особливо у м’язистих або ожирілих собак), але рана завжди видно. Найнебезпечніший перелом (сильно пошкоджені тканини, ймовірність крововтрати), але й плюс є – ознаки настільки явні, що власник мчить в клініку негайно.
Крім переломів в результаті травм, існують патологічні переломи – кістку не витримує звичайних навантажень, а іноді ламається навіть під вагою тіла під час ходьби. Причини: нестача кальцію, рак кісток, кістозні утворення, будь-які хвороби, в результаті яких кістки стають крихкими, старість. Такі переломи у собак лікування вимагають за двома напрямками – відновити цілісність кістки і усунути (по можливості) першопричину.
Перша допомога
1. Фіксуємо щелепи (намордник, бинт). Це необхідно в будь-якому випадку, навіть якщо собака не агресивна і виглядає спокійною. Вихованець може вкусити, коли власник з необережності зробить йому боляче (спробує перев’язати рану, накласти шину або посадити собаку в бокс). Навіть в легких випадках, наприклад при переломі хвоста, у собаки може не вистачити терпіння і делікатності. А покусаними руками улюбленцеві допомогти куди складніше!

2. Фіксуємо місце травми, коли це необхідно. При одному тільки підозрі на перелом (немає видимих ушкоджень, собака обережний, але рухає пошкодженої частини тіла) не потрібно доторкатися до місця травми.
Якщо зламані ребра, перемотувати груди собаки широким бинтом або тканинними стрічками. Досить туго, але так, щоб не здавлювати ребра і не заважати диханню.
На зламану лапу накладаємо шину – з будь-яких підходящих рейок, шматка пластикової пляшки і т. п.
При переломі щелепи у собаки може запасти язик або виникнути труднощі з диханням через скупчилася в глотці крові – очищаємо дихальні шляхи дуже обережно, намагаючись не зміщувати зламану щелепу. Бажано зафіксувати щелепу, спорудивши каркас з дроту і бинтів, але це довго (якщо до клініки їхати 10 хв., не потрібно втрачати час).
Не можна намагатися повернути зламаної кістки природне положення! Мета фіксації в тому, щоб собака не пошкодила собі ще більше, поки ви їдете в клініку. Тому у всіх випадках, коли можливо довезти собаку до ветеринара, мінімально турбуючи травмовану область, не потрібно зайвий раз торкатися хворого місця.
3. Собаку перевозять в делікатному становищі, яке залежить від місця травми. Треба посадити/укласти вихованця так, щоб не навантажувати зламану кістку. Цуценя або маленьку собаку можна посадити в бокс. Якщо є підозра на перелом хребта у собаки, бажано викликати лікаря додому (якщо лікар може приїхати негайно). До приїзду лікаря собаку утримують у тому становищі, у якому вона знаходиться. Якщо це неможливо, собаку перетягують (удвох) на лист фанери і фіксують (прив’язати до фанері бинтами) в тому положенні, в якому собака лежить. Не можна намагатися випрямити або зігнути улюбленця!
При кровотечі накладають джгут вище місця травми або тугу марлеву пов’язку. Якщо шлях до клініки займе довше 20 хв., зв’яжіться з ветеринаром по телефону. Лікар підкаже, як знизити біль і як уникнути ускладнень, пов’язаних з тривалою транспортуванням. Телефон найближчої до вас клініки можна знайти через інтернет або довідкову службу міста.
Лікування переломів
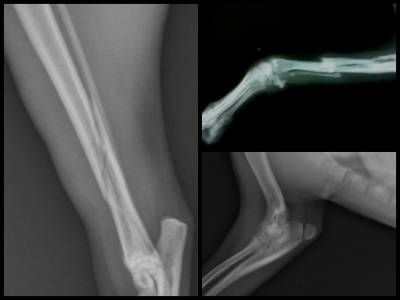
В першу чергу лікар усуне біль і занепокоєння (седативні препарати), обробить рану (якщо зовнішні пошкоджені тканини). Так як визначити у собаки перелом лише за зовнішніми ознаками не завжди можливо, обов’язково роблять знімок. Рентген допоможе оцінити ситуацію: іноді для зрощування досить гіпсу, а іноді потрібне хірургічне втручання – повернути краю зламаної кістки в природне положення, видалити дрібні осколки, відновити цілісність судин і м’язів.

Іноді потрібно стягнути/скріпити кістка шурупами, пластинами, спицями з металу – ювелірна робота, дорога, але результати вражають. В деяких випадках потрібна заміна ушкодженої ділянки кістки на протез. Наприклад, при переломі шийки стегна у собаки набагато більше шансів повністю відновитися, якщо відразу замінити суглоб. Особливо, коли мова йде про людей похилого віку, м’язистих або ожирілих собаках.
Зафіксована тим чи іншим способом кістка зростеться за кілька тижнів (індивідуально, від тяжкості травми, віку, типу перелому та інших чинників). Видужуючому вихованцеві необхідно забезпечити спокій. Із-за зниження активності можливий набір ваги, тому лише дієтичне харчування. Ветеринар пропише ліки, які допоможуть собаці легше перенести період відновлення – седативні, знеболюючі, проносні (якщо із-за малої рухливості з’явилися проблеми з дефекацією). Обов’язково призначають регенеруючі препарати, що прискорюють зрощення кістки і загоєння прилеглих тканин.
При переломі тазу у собаки лікування більш тривалий і складний, так як рухова функція сильно обмежена. Те ж стосується переломів хребта. З-за високої ймовірності ускладнень, лікар повинен спостерігати за прогресом лікування до повного одужання хвостатого пацієнта.